Κάθε χρόνο περίπου 200.000 νέοι ασθενείς διαγιγνώσκονται με Ανεύρυσμα Κοιλιακής Αορτής. Είναι γνωστό επίσης, ότι η ρήξη του Ανευρύσματος Κοιλιακής Αορτής οδηγεί σε ποσοστό τουλάχιστον 50% στο θάνατο.
Το φυλλάδιο αυτό δημιουργήθηκε στα πλαίσια προσπάθειας για την ενημέρωση του κοινού σχετικά με τη νόσο. Στο κείμενο χρησιμοποιήθηκαν ερωτήσεις – απαντήσεις, μέσα από τις οποίες προσεγγίζεται η διάγνωση, καθώς και οι θεραπευτικές δυνατότητες που υπάρχουν σήμερα.
Η προσδοκία αφορά στην ευαισθητοποίηση των πολιτών και στην παροχή ενημέρωσης και βοήθειας, για την αποτελεσματική αντιμετώπιση της νόσου, προς όφελος των πασχόντων συνανθρώπων μας.
Τι είναι ανεύρυσμα:
Ανεύρυσμα είναι η μόνιμη εντοπισμένη διάταση μιας αρτηρίας, μεγαλύτερης τουλάχιστον κατά 50% της διαμέτρου της υπόλοιπης φυσιολογικής αρτηρίας του ίδιου ατόμου.
Τι είναι το ανεύρυσμα της κοιλιακής αορτής:
Το ανεύρυσμα της κοιλιακής αορτής είναι η διάταση της κοιλιακής αορτής. Η αορτή είναι η μεγαλύτερη αρτηρία η οποία μεταφέρει οξυγονωμένο αίμα από την καρδιά προς όλα τα σημεία του σώματος. Στο κάτω τμήμα της κοιλιακής χώρας η αορτή διχάζεται στις δύο κοινές λαγόνιες αρτηρίες, οι οποίες μεταφέρουν το αίμα στα κάτω άκρα. Το ανεύρυσμα μπορεί να εμφανιστεί σε οποιαδήποτε αρτηρία του ανθρωπίνου σώματος, αλλά είναι πιο συχνό στην κοιλιακή αορτή και στις λαγόνιες αρτηρίες.
Η φυσιολογική διάμετρος της κοιλιακής αορτής είναι περίπου 2 εκατοστά. Το ανεύρυσμα μπορεί να έχει διάμετρο αρκετές φορές τη διάμετρο της φυσιολογικής κοιλιακής αορτής. Αν αυτή η κατάσταση παραμείνει χωρίς θεραπεία, το αποτέλεσμα μπορεί να είναι η ρήξη της αορτής και η εσωτερική αιμορραγία. Ο κίνδυνος της ρήξης εξαρτάται από την αύξηση του ανευρύσματος και από την υψηλή αρτηριακή πίεση (Υπέρταση) και συνοδεύεται από μεγάλη θνητότητα.
Πως δημιουργείται το ανεύρυσμα της κοιλιακής αορτής:
Με την πάροδο των ετών το τοίχωμα της κοιλιακής αορτής λεπταίνει. Η εκφύλιση του τοιχώματος σε συνδυασμό με την παρουσία αθηρωματικής νόσου, τραυματισμού ή γενετικής διαταραχής μπορεί να είναι αιτίες δημιουργίας του ανευρύσματος. Η αυξημένη αρτηριακή πίεση (υπέρταση) μπορεί επίσης να αποτελέσει παράγοντα δημιουργίας ανευρύσματος.
Παράγοντες κινδύνου είναι επίσης η κληρονομικότητα, το κάπνισμα, η καρδιακή νόσος και η αποφρακτική πνευμονοπάθεια.
Ποια είναι τα συμπτώματα του ανευρύσματος της κοιλιακής αορτής:
Σε μεγάλο ποσοστό ασθενών με ανεύρυσμα κοιλιακής αορτής δεν εμφανίζονται συμπτώματα. Στους ασθενείς που εμφανίζουν συμπτώματα το πιο συχνό είναι ο πόνος. Ο πόνος που μπορεί να εμφανιστεί πιο συχνά στην κοιλιακή χώρα (γύρω από τον ομφαλό), στην οσφύ ή στο θώρακα. Πολλοί ασθενείς περιγράφουν τον πόνο αυτό, σαν μέτριο έως ισχυρό. Άλλοι ασθενείς αναφέρουν ότι αισθάνονται το ανεύρυσμα περιομφαλικά σαν μια σφύζουσα μάζα.
Είναι εύκολη η διάγνωση του ανευρύσματος κοιλιακής αορτής:
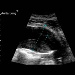
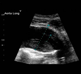
Ο γιατρός μπορεί να ανακαλύψει το ανεύρυσμα της κοιλιακής αορτής σε μια κλινική εξέταση ρουτίνας. Η ψηλάφηση σφύζουσας μάζας στην κοιλιακή χώρα θέτει την υπόνοια του ανευρύσματος της κοιλιακής αορτής. Η διαγνωστική προσέγγιση γίνεται εύκολα με υπερηχογράφημα κοιλίας, εξέταση απλή και ανώδυνη.
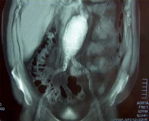
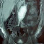
Λεπτομέρειες για την ανατομική δομή του ανευρύσματος που είναι χρήσιμες για τον σχεδιασμό της επεμβατικής αντιμετώπισης παρέχονται από την αξονική τομογραφία άνω και κάτω κοιλίας καθώς επίσης και από τη νεότερη μέθοδο ψηφιακής απεικόνισης, spiral CT
Πότε ο γιατρός προτείνει τη θεραπεία του ανευρύσματος της κοιλιακής αορτής:
Το μέγεθος, η θέση του ανευρύσματος και η γενική κατάσταση του ασθενή καθορίζει το πώς αυτό πρέπει να αντιμετωπιστεί. Όταν το ανεύρυσμα είναι μικρό, ο γιατρός συνήθως συστήνει περιοδικά τον έλεγχο της διαμέτρου του ανευρύσματος, είτε με υπερηχογράφημα είτε με αξονική τομογραφία. Όταν η διάμετρος του ανευρύσματος είναι μεγαλύτερη από 5 εκατοστά ή αυτό αυξάνει ταχέως σε διάμετρο, τότε απαιτείται επεμβατική θεραπεία.
Ο Αγγειοχειρουργός εκτιμά τον κατάλληλο χρόνο της απαιτούμενης χειρουργικής θεραπείας και έχει τη δυνατότητα να αντιμετωπίσει το ανεύρυσμα της κοιλιακής αορτής με ανοιχτή χειρουργική επέμβαση ή ενδαγγειακά.
Όταν η θεραπεία είναι απαραίτητη, ποια θα πρέπει να είναι η επιλογή;
ΑΝΟΙΧΤΗ ΧΕΙΡΟΥΡΓΙΚΗ ΕΠΕΜΒΑΣΗ
Η ανοιχτή χειρουργική επέμβαση είναι η κλασσική μέθοδος αντιμετώπισης του ανευρύσματος της κοιλιακής αορτής. Στην ανοιχτή επέμβαση διενεργείται τομή στην κοιλιακή χώρα, παρασκευάζεται η κοιλιακή αορτή και το ανεύρυσμα. Αφαιρείται το ανεύρυσμα και η αποκατάσταση της κοιλιακής αορτής γίνεται με τη συρραφή συνθετικού μοσχεύματος. Η κλασσική αυτή μέθοδος γίνεται υπό γενική αναισθησία και χρειάζεται χρόνος από 2-4 ώρες. Ο ασθενής παραμένει για 24 ώρες στη Μονάδα Εντατικής Θεραπείας, ενώ ο χρόνος νοσηλείας στο νοσοκομείο κυμαίνεται από 5 έως 7 ημέρες. Η πλήρης ανάρρωση του ασθενούς διαρκεί περίπου 1 μήνα, είναι μια μείζων χειρουργική επέμβαση, την οποία δεν είναι σε θέση να υποστούν όλοι οι ασθενείς και συνεπώς ο γιατρός πρέπει να ενημερώνει για τις τυχόν επιπλοκές της επέμβασης, ανάλογα και με τη γενική κατάσταση του ασθενή.
ΕΝΔΑΓΓΕΙΑΚΗ ΘΕΡΑΠΕΙΑ
Η ενδαγγειακή θεραπεία είναι μια σχετικά νέα μέθοδος αντιμετώπισης του ανευρύσματος της κοιλιακής αορτής. Κατά τη μέθοδο αυτή υπάρχει σαφώς λιγότερη επιβάρυνση του ασθενή από την κλασσική μέθοδο. Συμπεριλαμβάνει την αντιμετώπιση του ανευρύσματος της κοιλιακής αορτής, με την τοποθέτηση ενδοαυλικά ενός μοσχεύματος, το οποίο στηρίζεται σε μεταλλικό σκελετό (stent-graft). Η ενδαγγειακή επέμβαση μπορεί να
διενεργηθεί με γενική, περιοχική ή τοπική αναισθησία και συνήθως για να ολοκληρωθεί απαιτούνται 2 – 3 ώρες. Ο ασθενής παραμένει στο νοσοκομείο για λίγες μέρες και μπορεί να επιστρέψει σε μικρό χρονικό διάστημα στη φυσιολογική του δραστηριότητα.
Δεν είναι κάθε ασθενής με ανεύρυσμα κοιλιακής αορτής κατάλληλος για
ενδαγγειακή αντιμετώπιση.
Ο Αγγειοχειρουργός είναι εκπαιδευμένος και στις δύο επεμβατικές τεχνικές (ανοιχτή ή ενδαγγειακή) και μπορεί να σας ενημερώσει πια είναι η καταλληλότερη για σας.
Τι μετεγχειρητική παρακολούθηση χρειάζεται μετά την αποκατάσταση του ανευρύσματος της κοιλιακής αορτής:
Η μετεγχειρητική παρακολούθηση πρέπει να γίνεται στον 1ο, 6ο, 1 2ο μήνα, και στη συνέχεια μία φορά το χρόνο. Η μετεγχειρητική παρακολούθηση μπορεί να περιλαμβάνει πέραν της κλινικής εξέτασης του ασθενούς και εξετάσεις όπως ακτινογραφία, υπερηχογράφημα, ή αξονική τομογραφία. Επίσης αιματολογικές εξετάσεις, βιοχημικές εξετάσεις, ή ότι άλλο κριθεί απαραίτητο.
ΣΥΜΒΟΥΛΕΣ ΠΡΟΣ ΤΟΥΣ ΑΣΘΕΝΕΙΣ.
Η Ανευρυσματική νόσος είναι μια σοβαρή κατάσταση, η οποία απαιτεί άμεση αντιμετώπιση λόγω των κινδύνων της ρήξης και της αιμορραγίας. Υπάρχουν σήμερα στοιχεία που τεκμηριώνουν ότι η ανίχνευση με υπερηχογράφημα (Triplex) ανευρύσματος κοιλιακής αορτής, οδηγεί σε σημαντική μείωση της θνησιμότητας των ασθενών. Ο κοιλιακός συνήθως πόνος και η σφύζουσα μάζα στην ίδια περιοχή, αποτελούν οδηγά σημεία για ένα άτομο, ώστε να επισκεφτεί έγκαιρα το γιατρό. Το μέγεθος, η θέση του ανευρύσματος και η γενική κατάσταση του ασθενή καθορίζει και την αντιμετώπισή του.
Ο Αγγειοχειρουργός είναι ο μοναδικός εκπαιδευμένος και στις δύο τεχνικές αντιμετώπισης γιατρός και οφείλει να εξηγήσει στον ασθενή τα πλεονεκτήματα και τα μειονεκτήματα των μεθόδων αντιμετώπισης του ανευρύσματος κοιλιακής αορτής.
- Ο Πιθανά πλεονεκτήματα και μειονεκτήματα της κλασσικής χειρουργικής μεθόδου
- Ο Πιθανά πλεονεκτήματα και μειονεκτήματα της ενδαγγειακής μεθόδου
- Την πιθανότητα επί αποτυχίας ή επιπλοκής της ενδαγγειακής μεθόδου, για την άμεση χειρουργική αποκατάσταση.
Γενικότερα υπάρχει έντονο ενδιαφέρον για την ανίχνευση και την παρακολούθηση των ασθενών με ανεύρυσμα κοιλιακής αορτής, με στόχο την έγκαιρη χειρουργική παρέμβαση με μια από τις αναφερόμενες μεθόδους, πριν από τη ρήξη τους.
ΠΗΓΗ: EΛΛHNIKH ETAIPEIA ΑΓΓΕΙΑΚΗΣ ΚΑΙ ΕΝΔΑΓΓΕΙΑΚΗΣ ΧΕΙΡΟΥΡΓΙΚΗΣ

